说个自己熟悉的医学领域吧,最直接受益于室温超导材料的无疑是磁共振技术。
我还记得大三那年学医学影像学,老师的PPT上展示了很多影像学的图片。X线平片只是给我们一个大致的概念,CT则是根据不同组织对X线透过率进行一个粗略的显像,而到了磁共振,尤其是高磁场磁共振成像,则是清晰明了的让组织结构纤毫毕现。

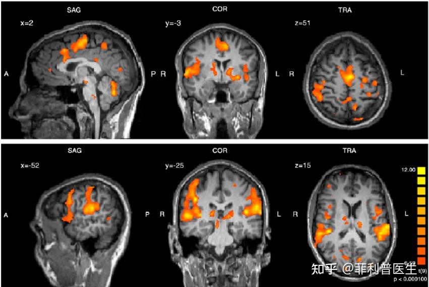
磁共振还有一个最大的好处,就是丰富的扫描序列,可以透露出组织内部更加丰富的细节,甚至可以识别出精细解剖结构、炎症、水肿、组织微观损伤、血液灌注和血管造影。甚至可以通过检测大脑活不同部位血氧水平变化来间接得到哪个脑区正处于活跃状态,从而追踪一个人的情绪、记忆、支配肢体等多种大脑活动,也被称为功能磁共振(fMRI)。

说了这么多磁共振的好处,就不得不提以下它的成本了。做过磁共振的人估计对大几百到一两千的检查费印象深刻。但相比仪器动辄几百万的价格和日常维护成本而言,国内做磁共振检查的收费确实已经不算高了。
而这个成本中的最大头无疑就是磁体,你可以把它理解成一个超大号的电磁铁,为了让磁力更强,肯定就需要更高的电流。而电流大一定会产生热量。所以它们就需要超导体来做线圈。此前的超导体都是低温超导,动不动就要用液氦(沸点-268.785℃)来降低其温度以达到超导态。
后面随着高温超导出现,逐渐降低要求到液氮降温也行。不过注意,这个高温是打引号的,因为它实际上是相比-296℃而言的。但总归,还是需要为超导线圈用液氮液氦降温。前段时间美国还威胁限制液氦出口。
如果室温超导出现,磁共振不仅能进一步小型化,还可以更加廉价,磁共振检查费用有望降至如今CT的水平。而且很有可能会突破如今最高7.0T(已上市)磁共振仪的天花板,实现10.0T磁共振的普及。
而且韩国学者那篇室温超导材料文章显示的制备方法确实很简单,如果能够成功复现,其他行业我不敢说,医疗行业,至少是医学影像学领域出现超进化完全有可能:
首先是空间分辨率提高:高磁场强度可以提高图像的空间分辨率,即可以更清晰地显示解剖结构和微小的病变。这对于医学诊断非常重要,可以帮助医生更准确地发现和定位病变。

然后是图像信噪比提高:磁场强度越高,图像中的信号强度相对增加,而噪声相对减少,从而提高了信噪比。信噪比的提高意味着图像质量更好,可以更容易地检测到微小的信号变化。
同时,时间分辨率也能够提高:高磁场强度可以缩短数据采集时间,从而提高时间分辨率。这对于动态研究和功能性磁共振成像(fMRI)等需要高时间分辨率的应用非常重要,可以更准确地捕捉到生物过程的快速变化。电光火石之间的脑活动变化也有可能被捕捉到。
最后,连光谱分辨率也可以提高:高磁场强度可以提高核磁共振光谱的分辨率。这对于分析和鉴定化合物的结构非常有帮助,可以更准确地确定分子的成分和结构。可以更精准地追踪到神经递质、激素、肿瘤标志物释放。

我们将对大脑功能有更深刻的认知,对病变的性质分析有更清楚的判断,甚至有可能取代传统的手术病理,结合更强人工智能带来超进化的新药研发能力,原发肿瘤可能直接通过影像学确诊,然后根据数据匹配直接对应靶向药物治疗,很多外科工作都要因为技术的超进化而取消。未来的医疗将更加高效、无痛、低损伤、精准。